
[쿠키뉴스=김단비 기자] 상실한 어금니를 사랑니로 대체해 치료할 수 있다는 연구결과가 나왔다.
연세대학교 치과대학병원 교정과 이기준-백형선 교수팀은 교정치료를 통해 상실한 어금니 부위로 사랑니를 끌어내린 결과 치조골 높이가 정상인에 비슷한 수준으로 유지됐다는 내용의 논문을 발표했다.
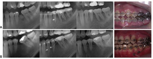
연구팀은 2004년 1월 1일부터 2011년 12월 31일까지 병원을 찾아 교정치료를 받은 16세 이상 환자군을 연구대상 집단으로 선정했다. 모두 37명(남성 18명, 여성 19명)으로, 총 51개의 상실치아에 대한 교정치료가 연구관찰 됐다.
평균 23.2세인 환자군은 31.7개월의 치료기간을 보였으며, 잇몸 위 치아는 평균 4.97mm를 움직였고 잇몸 속 치아 뿌리는 평균 8.64mm를 이동해 잇몸 위 치아보다 치아 뿌리가 2.81배 더 이동한 것으로 측정됐다.
연구팀은 교정치료로 치아 뿌리가 이동함에 따라 발생할 수 있는 치조골 소실 정도와 교정치료 완료 후 치근의 길이를 측정했다.
전체 연구대상(51개 치아)군의 약 80%에 육박하는 40개 치아에서 치조골 소실 정도가 1mm 미만인 것으로 나타났으며, 치근의 길이 또한 1mm 이내로 변화해 환자가 교정된 자연치아를 평생 이용하는데 문제가 없는 것으로 나타났다.
연구를 진행한 이기준 교수는 “교정치료는 임플란트 대체 시술보다 치료 종료까지 다소 오랜 시간이 필요하지만 치아를 이동시키는 교정 과정에서 치아가 골조직을 만들기 때문에 골이식이 필요한 환자에게도 적용할 수 있는 방법이다”라고 말했다.
또한, 임플란트 대체 시술을 시행하더라도 치아 임플란트가 일정 수명이 정해져 있는데 반해 교정치료에 의한 손실치아 대체법은 관리만 잘한다면 반영구적으로 사용할 수 있다는 장점도 있음을 설명했다.
이 교수는 성인이 되어 영구치아를 상실했을 경우 무작정 임플란트 대체 시술을 시행하기보다 자신의 자연치아를 살려 대체하는 교정시술을 고려하는 것도 좋은 방법이 된다. 특히, 30대 이하의 환자에서 안전성과 치료효과가 높은 것으로 나타났다”고 말했다.
해당 연구결과는 SCI급 학술지인 ‘미국 치과의사협회지(JADA : THE JOURNAL OF THE AMERICAN DENTAL ASSOCIATION)' 최근호에 Mandibular molar protraction as an alternative treatment for edentulous spaces 제목으로 게재됐다. kubee08@kukimedia.co.kr