
[쿠키뉴스=김단비 기자] 신혼여행을 앞둔 30대 초반의 남성은 몇 주째 입안이 헐고 궤양을 낫지 않아 식사를 제대로 하지 못했다. 그의 고민은 며칠 후면 떠날 신혼 여행지에서 맛있는 음식을 마음껏 먹을 수 없다는 것이었다. 결혼 준비로 바빴고 피곤했기 때문에 입 속에 난 궤양이 대수롭지 않았다. 술, 담배를 일절하지 않는 그가 ‘구강암’ 진단을 받은 것은 신혼여행에서 돌아온 직후였다.
구강암은 진단받은 환자 열 명중 한 두 명만 겨우 알고 있을 정도로 인지도가 낮은 편이다. 구강암의 전조 증상은 치유되지 않은 궤양이다. 다만 입 속에 궤양이 나타날 때마다 구강암의 공포를 느끼고 병원을 올 필요는 없다. 중요한 포인트는 치유되지 않는 궤양이란 점이다. 약을 발라도 좀처럼 낫지 않고 2주 이상 지속된다면 병원을 찾아와 궤양의 정체를 살펴봐야한다.
◇구강암 예방, 왜 중요한가
구강암은 다른 신체 부위에서 나타난 암과 다른 특징이 있다. 수술 성과가 좋다 하더라도 ‘구강’이라는 특성 때문에 음식을 씹고 맛보는 저작기능의 상실, 자신의 생각을 유연하게 말할 수 있는 발음기능의 저하, 또 종양을 도려낸 탓에 나타나는 얼굴 생김새의 변화 등 환자가 사는 동안 감수해야하는 부분이 크다.
서울대학교치과병원 구강악안면외과 명훈 교수는 수술 후 자신을 왜 살려냈냐며 토로하는 구강암 환자가 있었다고 말했다. 취재 중 만난 여성 구강암 환자는 앞으로 무엇이 가장 걱정되느냐는 기자의 질문에 “외적인 변화”를 들었다. 그녀는 오른쪽 뺨에 구강암이 발생했다. 수술 후 얼굴 한 측이 무너졌다. 말을 할 수 없어 글로 표현해야 했던 여성 환자는 삐뚤빼뚤한 글씨체로 사람들에게 비춰질 자신의 모습을 걱정했다.
구강암 환자의 5년 생존율은 절반도 못되는 30~40%에 불과하다. 이토록 예후가 나쁜 까닭은 ‘뒤늦은 발견’이 한몫한다. 구강암에 대한 국민들의 인식이 낮고, 심지어 구강에 암이 생길 수 있다는 것조차 모르는 이들이 많다. ‘암이 몸의 어디든 생길 수 있다’라는 일반적 명제만 기억해도 구강암은 더 이상 낮선 암이 아니다.
◇구강암 왜 생기나
구강암의 정확한 원인이 어렴풋이 밝혀지고 있으나 아직 추정에 불과하다. 유력인자는 단연 흡연과 술, 고령의 나이다. 구강암 환자의 상당수는 흡연을 한 사람이다. 담배의 유해성분이 구강점막을 변화시킨다. 백색 또는 적색병소로 점막 형태를 변화시키는 것이다. 흡연은 예후에도 영향을 미친다. 비흡연자보다 흡연자에서 구강암으로 인한 사망률이 높다. 또 지난 30년간 역학조사에서 과다한 음주를 즐기는 사람, 나이가 많은 사람에게서 구강암이 발생하는 경우가 많았다. 최근에는 인유두종바이러스(HPV)가 구강암의 새로운 원인으로 꼽힌다. 구강암 환자의 3분의 2에서 HPV가 발견된다.
◇어떤 경우에 구강암을 의심해야하나
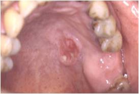
구강암의 전암 병변을 알아둘 필요가 있다. 혀와 입천장, 혀 아래, 잇몸과 입 안 등 입을 벌렸을 때 보이는 모든 공간은 구강암이 생길 수 있는 곳이다. 따라서 이들 부위의 점막변화를 잘 살펴야한다. 서울대치과병원 구강악안면외과 명훈 교수는 “점막 변화에 경각심을 갖는 것은 구강암을 예방할 수 있는 기회를 얻는 것”이라고 말했다.
구강 건강을 살필 때 색(Color)이 중요한 단서가 된다. 혀의 일부가 하얗게 변하는 백반증과 심하게 빨개지는 적반증이 그것이다. 명훈 교수는 “백반증은 손톱으로 긁어도 제거되지 않고 구강 내 어느 부위에도 발생할 수 있다. 건강한 혀는 연분홍색을 띠며 오동통한 모양이다. 너무 빨갛거나 하얀색을 띠면 문제가 발생한 것”이라고 설명했다, 명 교수는 구강암 예방을 위해 구강의 색을 살필 것을 재차 강조했다.
모든 백반증과 적반증이 악성종양으로 이행되는 것은 아니다. 다만 많은 환자들이 구강의 변화를 대수롭지 않게 여기고 병원을 뒤늦게 온 탓에 사망률이 높다는 분석이 있다. 명훈 교수는 “구강은 소화기관의 한 부분이기도 하고 기도와도 연결돼 있어 이곳에 암이 생길 경우 삶에 미치는 영향이 치명적이다. 거울에 보며 자신의 입속 상태를 확인하고 항상 구강 상태를 청결히 하는 노력이 필요하다”고 말했다. kubee08@kukimedia.co.kr