
어릴 때 나는 영구치와는 달리 날 때 아프고 잇몸 제일 뒤쪽에 늦게 나는 정도로만 알려진 사랑니.
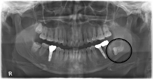
사랑니는 턱뼈가 작아진 현대인들의 구강 공간 부족으로 대부분 비뚫게 나거나 아예 턱뼈 속에 묻혀있는 경우가 많다.
보고에 의하면 완전히 잇몸뼈 안에 묻혀 있는 매복 사랑니의 약 3~23% 정도에서 물혹이나 종양 등 골치 아픈 합병증이 발생되는데, 턱뼈를 녹이고 상당히 크게 잠식할 때까지 증상이 없어 대부분 치과 치료 중 우연히 발견되거나 건강검진에서 발견되어 병원을 찾는 경우가 많다.
서울대학교치과병원 구강악안면외과 명훈 교수는 “잇몸 속에 묻혀있는 사랑니의 머리 부위 염증이 반복되면서 치아를 둘러싸고 있는 주머니가 물혹으로 발전하여 물이 차면서 커지게 되는데, 물혹이 커지면서 턱뼈를 녹이게 되고 이에 따른 합병증이 나타나게 되는 것”이라고 설명했다.
또한 물혹은 턱뼈 안의 신경을 압박할 정도가 되면 심한 통증이나 마취가 된 듯한 감각 이상 등의 증상이 나타날 수도 있다. 심하면 턱뼈가 물혹에 의해 부풀어 올라 외관상 얼굴 모양에 변형이 와서 안면비대칭까지 올 수 있다.
일단 물혹이 발생하면 원인을 제공한 사랑니와 더불어 수술적으로 물혹을 제거해야 한다. 사랑니와 물혹을 동시에 제거해야 하는 경우 신경과 남은 턱뼈를 보존하면서 수술을 진행하여야 하므로 수술의 범위가 클 수 밖에 없다. 따라서 평소 사랑니가 비록 불편감이 없다고 할지라도 가까운 치과에서 검진을 통해 조기발견과 조기치료를 하는 것이 최선의 방법이다.
명훈 교수는 “사랑니와 물혹은 일반 치과에서 X-ray 검사로 간단히 진단할 수 있다. 20대에 사랑니가 나지 않았다고 해서 사랑니가 없다고 섣부르게 자가진단을 해서는 안 된다“고 조언했다.
김단비 기자 kubee08@kukimedia.co.kr